想要具体了解牙齿掉了一颗怎么办呢?>>>点击【在线咨询】直接问医生!方便!快捷!牙齿掉了一颗怎么办,牙齿无论是在什么情况下脱落的,都要及时修复,常规的修复方法是镶牙和种植牙,那两者如何选择呢,牙医来为你分析,牙齿掉了一颗应如何治疗:
一、牙齿掉了应通过牙齿修复术及时修复
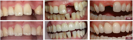
牙齿脱落后会影响牙齿的美观度和使用度,应抓紧时间到口腔医院进行修复,以免错过 佳修复时间,等空位周围的牙周组织全部长好之后,就无法再种植新的牙体了。

二、选择安全美观牢固的种植术至关重要
目前市面上修复牙齿缺失的方式有两种:镶牙和种植牙,但两者的安全性、牢固性、美观性各有不同,下面是牙医为您做出的分析:
1、种植牙与镶牙都是牙齿缺失后两种不同的补救方式,但镶牙的弊端和缺点显而易见,种植牙恰恰可以以长补短,弥补镶牙的种种不足。
2、种植牙可以根据不同患者牙齿损失的不同情况安装不同的修复体,灵活性强,不死搬硬套,完全符合个性化艺术设计,达到美学效果。>>>点这里,直接预约医生!方便快捷!
3、种植牙不损伤患牙相邻的健康牙齿,不用磨牙为代价,而且口内没有异物感,咀嚼力超强,不用担心用力过猛而受到伤害。
4、种植牙在美观上更是无可挑剔,不会出现镶牙后的铁质牙套,影响整体形象。种植牙体色泽透明、形象逼真,如果不提醒不会马上辨别出是做的假牙修复。
三、提示:瑞典Nobel精工是治疗牙齿缺失的方案
贝臣齿科引进的瑞典Nobel精工技术将与人体生理相容性极高的种植体(人工牙根)种植到牙槽骨内,并与之产生骨结合,具有很强的固位性和稳定性,手术简单,愈合时间短,使用寿命长,更具高效咀嚼功能,外形可与自然牙相媲美,且光泽度比自然牙更胜一筹,因此,被誉为是“人类的第三副牙齿”也是国际口腔医学界公认的牙齿缺失首选修复方式。【立即咨询】
医生提示:
牙齿缺失了要在规定时间内进行修补,镶牙是传统修复方式,它以磨掉健康牙齿为代价,在磨牙的过程中会出现酸胀感。随着口腔医学的发展,种植牙应运而生,它以形象逼真、坚固耐用的优势赢得了广大补牙患者的青睐,以其独特的个性化设计、极高的美学效果成为牙齿美容行业的新势力。还有不明白的,点击免费咨询,或者拨打24小时贝臣美牙热线0591-88681777咨询,贝臣齿科医生为您解答!
在线咨询(免费咨询)在线近距离