虫牙,学名称之为“龋齿”,是一种常见且惹人厌烦的牙齿疾病。早期的虫牙一般不容易发觉,因而也不会引起人们的足够重视,而后期的虫牙威力十足,引发的疼痛着实让很多人难以忍受。那么虫牙有什么危害呢?>>>点击免费咨询,或者拨打24小时美牙热线0591-88681777免费咨询,贝臣齿科医生为您解答!

虫牙危害不容忽视
贝臣齿科医生介绍,虫牙是每个年龄阶段的人都会遇到的牙齿问题。对于儿童来说,虫牙的出现经常造成牙根尖等部位的炎症,严重时局部肿胀;如脓液和细菌被吸收,可引起败血症或菌血症。少儿期还会波及到恒牙的发育,日后可能造成儿童恒牙排列不齐、牙根糜烂、口臭等等。
对于成人来说, 虫牙还是导致成年人牙齿脱落的重要原因,当我们的某颗牙齿被蛀坏脱落之后,两边的邻牙、甚至上下对应的牙齿也会受到影响,就如一个载体会因为失去某个支柱而坍塌,严重虫牙可造成大部分牙齿缺失或全部缺失。因而贝臣齿科医生建议您及时的补牙,以防止牙齿的进一步严重。>>>文字看累了?点击直接免费咨询吧!
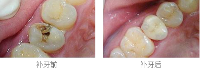
补牙德国树脂填充
贝臣齿科独家德国树脂充填采用的是当代科技生产的补牙材料,其填料的颗粒度达到纳米级。德国树脂材料具有半透明性,且具有乳光色泽,与材料卓越的半透明性一起,可以满足更多补牙者的需求其性能较过去的复合树脂类材料有较大提高,色泽更好、更耐磨、不易脱落,是补牙时的!>>>点击咨询详细了解德国树脂充填!

1、色泽逼真:恢复牙齿自然外形,色泽尤其逼真、有质感
2、持久性佳:德国独有的纳米复合树脂,将牙齿的抛光性和持久性完美结合,抛光和使用的持久性都非常好。
3、超强强度:超出预期的强度和持久性,表面受到摩擦时,牙齿只是磨损到一个纳米级的颗粒,而不会象传统混合微填料那样丢失一个较大的颗粒。
4、适用广泛:纳米树脂填充杰出的抗压性和抗张性以及持久性,使它可用于各种龋洞的填充。
贝臣齿科温馨提示:充填材料的选用要慎重!充填材料应当具有无毒、耐磨、有抗压强度、充填后体积不改变、与窝洞密合、不被唾液腐蚀或溶解、操作简便及色泽美观等性能。还有不明白的,点击免费咨询,或者拨打24小时贝臣美牙热线0591-88681777咨询,贝臣齿科医生为您解答!
在线咨询(免费咨询)在线近距离